
摔跤最怕摔伤的部位就是头
当年紫薇摔下马
明明眼睛没有受伤却失明了
就有可能是因为脑出血压迫了视神经
大脑是人体最重要也最脆弱的器官——
它掌管着全身的神经中枢,
主宰着意识、思维与所有生命活动,
是人体无可替代的指挥核心。
可它又如同豆腐般脆弱,

稍有磕碰、震荡或损伤,
便极易引发难以挽回的伤害。
张老先生怎么也没想到,
一次意外摔伤头部,竟差点让他与家人永别。
今年春节过后,他感到头部隐隐作痛,老是想睡觉,但总觉得是“过年累着了”,没当回事。
谁成想,几天后,他突然变得意识模糊,家人紧急将他送往深圳市第二人民医院急诊科。
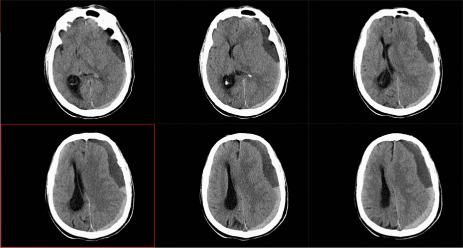
经过CT检查,医生诊断张老先生患的是“慢性硬膜下血肿”。(图1)

图1 急诊CT影像,见左侧硬膜下混杂慢性硬膜下血肿,中线受压右移。
慢性硬膜下血肿这个听起来有些专业的名词,其实可以简单理解为“大脑外面慢慢地出血”。
我们的大脑被三层膜包裹着,从内到外分别是软脑膜、蛛网膜和硬脑膜。

慢性硬膜下血肿就是发生在硬脑膜和蛛网膜之间的血肿,通常是头部受到轻微外伤后,少量出血逐渐积累形成的“血包”,这个形成过程可能持续数周甚至数月。

张老先生的发病过程非常典型,这种血肿初期症状往往不明显,
可能只是轻微头痛、头晕、记忆力下降或反应变慢,
很容易被误认为是疲劳、感冒或“年纪大了反应差了”的正常现象。
特别是老年人,常常将这些症状归因于衰老,从而延误就诊。
随着血肿逐渐增大,大脑受压加重,症状才会变得明显:意识障碍、肢体无力、行走困难,甚至昏迷。王老先生就是经历了这个过程。
神经重症监护室黄贤键主任团队接诊张老先生后,安排急诊进行“硬膜下血肿钻孔引流术”。
开颅手术听起来挺吓人的,但这个手术其实只是在颅骨上钻一个小孔,放入引流管将硬膜下积聚的“大血包”放出来,减轻血肿对大脑的压迫。
这个手术效果立竿见影,术后当日张老先生的意识就逐渐恢复,很快就成功脱离呼吸机并拔除气管插管。
康复之路就随即启动,从昏迷到能够自由活动,张老先生经历了系统的康复治疗:
早期康复:术后返回重症监护室,早期开始为患者进行被动关节活动,防止肌肉萎缩和关节僵硬。
功能训练:随着意识恢复并拔除气管插管后,张老先生转至普通病房,治疗重点转向坐立平衡、站立和行走训练。起初需要两人搀扶才能站立片刻,肌肉力量经过训练后很快得到恢复,逐步可以独自站立和自主行走了。(图2)
认知与日常生活训练:除了肢体活动功能,医生和治疗师还帮助他恢复记忆力、注意力和日常生活能力,如穿衣、吃饭、洗漱等。

图2 术后转至普通病房恢复良好
张老先生的经历给我们几个重要提醒:
1.头部轻微外伤要警惕:特别是老年人,即使头部磕碰得不严重,也可能在几周后出现慢性硬膜下血肿,尤其是出现精神反应状态和活动困难等情况。
2.留意细微变化:如果出现持续头痛、记忆力下降、反应变慢、行走不稳或肢体无力,应及时就医,不要简单归因于“老了”。
3.及时就医:一旦确诊,慢性硬膜下血肿的治疗效果通常都很好。像张老先生这样的病例,经过及时手术和系统康复,大多能恢复良好。
手术后2周时,张老先生已经能够自由行走,生活基本自理。他的家人感慨:“真是从鬼门关走了一遭。”这次经历也让全家认识到,对于家中长辈的身体变化,再小的异常也不应掉以轻心。当出现不明原因的头痛、乏力或认知变化时,及时就医检查,才能避免小问题酿成大患。
来源:深圳市第二人民医院
审核:谢银波