
提到阑尾炎,大家首先想到的是不是就是就是开刀把阑尾切掉呢?但现在,医生们有了新武器——超细内镜,它就像一根魔法棒,通过医生的巧手,送进进患者的阑尾里,来个“现场直播”,把里面的情况看得清清楚楚!这可不是一般的微创哦,而是叫做“内镜直视下阑尾炎治疗术”,由于内镜室通过身体的自然腔道治疗,不开腹,所以治疗后也没有伤口。
近日,深圳市第二人民医院消化内科病房收治了三名青少年患者,他们因急性右下腹入院。经过详细的查体和检查,诊断是急性阑尾炎。由于考虑到患者未成年,选择了内镜直视下阑尾炎治疗术。

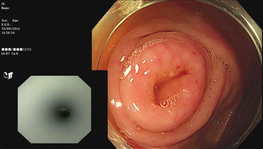
在手术过程中,医生通过超细内镜进入患者的阑尾腔,直接观察到阑尾腔内存在粪石堵塞,并成功将其取出。随后,医生对阑尾腔进行了冲洗,以清除脓液和炎症物质,从而缓解了患者的症状。术后,患者的炎症指标明显好转,第三天便可顺利出院,返回学校。


内镜直视下阑尾炎治疗术直接进入阑尾腔,观察并处理阑尾内部的异常情况,不仅保留了阑尾及其功能,还实现了病因性治疗,如粪石阻塞、阑尾腔狭窄等。这种治疗方法的成功应用,标志着我们在阑尾炎诊治方面迈入了超级微创手术的新时代。
阑尾是一个重要的免疫器官,拥有丰富的淋巴组织,能够传输具有免疫活性的淋巴细胞,如B淋巴细胞和T淋巴细胞。这些细胞在人体内发挥着关键的免疫功能,帮助杀灭细菌和病毒,排除体内的毒性物质。因此,保留阑尾及其功能对于维持人体免疫系统的正常运作至关重要。
内镜逆行阑尾炎治疗术(Endoscopic Retrograde Appendicitis Therapy, ERAT)技术自2012年首次由国内刘冰熔教授提出以来,已经在国际上得到了广泛应用和推广。其基本原理是通过导丝-导管技术,在X线透视下,显影阑尾腔及走行后,利用导线、导管对阑尾进行插管、造影、冲洗和引流等操作,从而快速降低阑尾腔内压力、炎症消退,并保留完整阑尾。
深圳市第二人民医院消化内科采用的内镜直视下阑尾炎治疗术是ERAT技术的一种改良版。相比经典的ERAT,该方法更加简便和直观,也更加安全。在肠镜配合下,超细内镜插入阑尾腔,直视下观察阑尾腔,得到明确诊断(视频如下),并且术后患者可以迅速恢复饮食和活动,使他们能够更快地恢复正常生活。此外,这种治疗方法还避免了传统手术可能带来的并发症,如切口感染、粘连性肠梗阻等。
这项超级微创内镜技术具有无创、无疤、恢复快等优势,特别适合需要保留阑尾功能的人群,如学生、参军人员;也为对疤痕有顾虑的人群和体弱的患者带来福音。
【科室简介】
深圳市第二人民医院消化内科拥有门诊、病房、内镜中心和功能实验室四部分,科室共有医护人员79名,人才梯队合理,技术力量雄厚。开放床位94张,年门诊量12万余人次,年出院病人7千余人次,年开展3、4级内镜手术5000余例。
本学科是卫生部内镜与微创医学消化科培训基地单位,卫生部内镜与微创医学消化科考评基地,国家消化道早癌筛查基地,广东省基层医药学会消化及消化内镜分会主任委员单位、深圳市医师协会消化内科医师分会会长单位、深圳市中西医结合学会消化病学分会主任委员单位、深圳市消化内镜护理消毒学会组长单位,广东省护理学会消化内科护理专业委员会副主委单位,广东省消化内镜护理消毒学会副组长单位。是国家胶囊内镜研究中心临床培训基地、中国医师协会ERCP培训基地、国家消化病临床研究中心早期胃癌筛查协作中心、深圳市消化及消化内镜医疗技术及管理培训平台、深圳市消化内镜管理与维护培训中心。

科室以消化系统疑难症疾病诊治及消化内镜治疗为特色,学科综合实力达省内先进水平,处于深圳市领先地位。特色技术包括: ERCP 及其相关治疗技术、急危消化道出血 OTSC 止血缝合技术、内镜下消化道粘膜切除术、内镜下消化道粘膜剥离术、内镜下消化道粘膜全层切除术、内镜下隧道技术、贲门失弛缓的内镜治疗(POEM )、内镜直视下阑尾炎治疗术(ERAT)、超声内镜诊疗技术、食管胃底静脉曲张内镜治疗、消化道支架置入术,是深圳市开展消化内镜技术最多、完成高难度手术最多的单位。针对急性重症胰腺炎、消化道大出血、复杂梗阻性胰胆疾病、消化系肿瘤以及消化系统的疑难危重疾病的诊疗具有较高水平。
文/凤凰网深圳新闻频道 实习生 韩雨萱 通讯员 消化内科冯爵荣
图/主办方供图